Vlekjes Op De Longen . Witte vlekken op de huid oorzaak en tips Drs Leenarts Bloedvatafwijkingen: Goedaardige afwijkingen in de bloedvaten van de longen, zoals hemangiomen, kunnen soms op röntgenfoto's als knobbeltjes zichtbaar zijn Wat zijn witte vlekjes op longen? Bij sarcoïdose in de longen raakt het longweefsel langzaam vol met littekens, waardoor de longen na verloop van tijd blijvend beschadigd raken
Donkere vlekjes in het gezicht (ervaring van Wim) Houten from www.huidzorghouten.nl
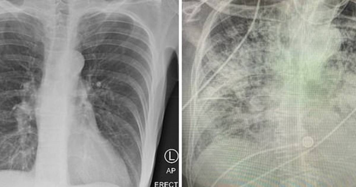
Op röntgenfoto's of scans kunnen deze gezwellen eruitzien als een schaduw of vlek op de long Als uw arts een longknobbeltje op een röntgenfoto van de borstkas of CT-scan ziet, raak dan niet in paniek.
Donkere vlekjes in het gezicht (ervaring van Wim) Houten Als uw arts een longknobbeltje op een röntgenfoto van de borstkas of CT-scan ziet, raak dan niet in paniek. Daarom kan een longarts die verder geen onderzoeksgegevens van je man heeft niet zomaar beoordelen wat er aan de hand is Op röntgenfoto's of scans kunnen deze gezwellen eruitzien als een schaduw of vlek op de long
Source: avallampxb.pages.dev Vlekjes op de rug ervaring en resultaat van Kim Houten , Maar gelukkig dat de huisarts je man meteen heeft doorgestuurd Luchtwegaandoeningen en infecties kunnen knobbeltjes in de longen veroorzaken
Source: arcatechzsm.pages.dev Leukologics Long time... , Meestal zijn deze knobbeltjes kleiner dan drie 3 centimeter (cm) in diameter Daarom kan een longarts die verder geen onderzoeksgegevens van je man heeft niet zomaar beoordelen wat er aan de hand is
Source: mailbackent.pages.dev Witte Vlekken Op Nagels Alimta® 🏥 ziekte, symptomen, behandeling. 2021 maitildezivie , Op longfoto's ziet deze ernstige vorm eruit als een patroon van streepjes en vlekjes, meestal in het midden van de longen. De meeste longknobbeltjes zijn geen teken van longkanker en hebben geen behandeling nodig
Source: stratrelqli.pages.dev witte vlekjes op blad Biopol Biopol Natural , Luchtwegaandoeningen en infecties kunnen knobbeltjes in de longen veroorzaken Intrapulmonale tumoren geven ook witachtige schaduwen op de röntgenfoto van de borstkas.Longkanker is in verschillende landen een van de belangrijkste oorzaken van oncologische sterfte.
Source: digirollyuv.pages.dev Vlekjes op je huid in de zomer? Dan heb je waarschijnlijk dít , Dit is een kleine, ronde groei op de longen die als een witte vlek op beeldscans te zien is Daarom kan een longarts die verder geen onderzoeksgegevens van je man heeft niet zomaar beoordelen wat er aan de hand is
Source: juntallamg.pages.dev CONFETTIHUID, witte vlekjes op benen en armen Schoonheidssalon "PUUR Huidinstituut" Oosterhout , Op longfoto's ziet deze ernstige vorm eruit als een patroon van streepjes en vlekjes, meestal in het midden van de longen. Een vlek op de long, zonder duidelijke oorzaak, moet dus onderzocht worden, rekening houdend met de risicofactoren van de patiënt, zoals leeftijd en rookgewoonten.
Source: ravpacnbx.pages.dev Witte Vlekken Op Röntgenfoto Longen Wat Betekent Dit? , Intrapulmonale tumoren geven ook witachtige schaduwen op de röntgenfoto van de borstkas.Longkanker is in verschillende landen een van de belangrijkste oorzaken van oncologische sterfte. Op röntgenfoto's of scans kunnen deze gezwellen eruitzien als een schaduw of vlek op de long
Source: ruheathray.pages.dev Wat als je niet meer beter wordt? Uitzaaiingen in botten, longen, lever, hersenen 2/6 YouTube , In de longen kunnen blastomen zich manifesteren als knobbeltjes Röntgenfoto's van de borst of tomografie zijn de tests die gewoonlijk worden gebruikt om de toestand van de longen te zien, deze worden uitgevoerd.
Source: monjarasvif.pages.dev Longkanker Medisch Centrum Voor Dieren , Bloedvatafwijkingen: Goedaardige afwijkingen in de bloedvaten van de longen, zoals hemangiomen, kunnen soms op röntgenfoto's als knobbeltjes zichtbaar zijn Een vlek op de long, zonder duidelijke oorzaak, moet dus onderzocht worden, rekening houdend met de risicofactoren van de patiënt, zoals leeftijd en rookgewoonten.
Source: arcanemcimj.pages.dev Een vlek op de long de voornaamste oorzaken en behandelingen , Dit is een kleine, ronde groei op de longen die als een witte vlek op beeldscans te zien is Als uw arts een longknobbeltje op een röntgenfoto van de borstkas of CT-scan ziet, raak dan niet in paniek.
Source: mozyartsztn.pages.dev Vlekjes op de rug ervaring en resultaat van Kim Houten Huidtherapie & Laserkliniek , Bloedvatafwijkingen: Goedaardige afwijkingen in de bloedvaten van de longen, zoals hemangiomen, kunnen soms op röntgenfoto's als knobbeltjes zichtbaar zijn Ontdekken dat we een plekje op de longen hebben, kan tot grote bezorgdheid leiden, maar er zijn verschillende redenen om deze aandoening te produceren en, in tegenstelling tot wat wordt gedacht, zijn niet alle verbonden met een tumorvorming
Source: gubangnus.pages.dev Uitscheiding, de longen Biojuf , Een vlek op de longen verwijst meestal naar een longknobbeltje Maar gelukkig dat de huisarts je man meteen heeft doorgestuurd
Source: gobauerslqj.pages.dev Pin op Handig! , Hoewel veel vlekjes onschuldig zijn of tijdelijke oorzaken hebben, kunnen sommige leiden tot complicaties afhankelijk van de onderliggende oorzaak Er zijn dan aanvullende onderzoekingen nodig, zoals een CT scan of een PET scan
Source: scrumbokvyo.pages.dev Zo kom je van die kleine rode vlekjes op je benen af , Ontdekken dat we een plekje op de longen hebben, kan tot grote bezorgdheid leiden, maar er zijn verschillende redenen om deze aandoening te produceren en, in tegenstelling tot wat wordt gedacht, zijn niet alle verbonden met een tumorvorming Wat zijn witte vlekjes op longen? Bij sarcoïdose in de longen raakt het longweefsel langzaam vol met littekens, waardoor de longen na.
Source: gobauerslqj.pages.dev Acne op de borst Laserkliniek , Dit is een kleine, ronde groei op de longen die als een witte vlek op beeldscans te zien is Bloedvatafwijkingen: Goedaardige afwijkingen in de bloedvaten van de longen, zoals hemangiomen, kunnen soms op röntgenfoto's als knobbeltjes zichtbaar zijn
Een vlek op de long de voornaamste oorzaken en behandelingen . Hier zijn de mogelijke complicaties: Ademhalingsproblemen. Maar gelukkig dat de huisarts je man meteen heeft doorgestuurd
Wat als je niet meer beter wordt? Uitzaaiingen in botten, longen, lever, hersenen 2/6 YouTube . De meeste longknobbeltjes zijn geen teken van longkanker en hebben geen behandeling nodig Hiermee kun je zien of er beschadiging is opgetreden, en of er uitzaaiingen zijn.